眼瞼下垂症(がんけんかすいしょう)とはまぶたが下がってくる病気です。
			まぶたが下がってくると見えづらい、目が疲れる等の症状が出てきます。
眼瞼下垂の場合、一番多いのが加齢性の眼瞼下垂です。これはまぶたを吊り上げている眼瞼挙筋という筋肉が緩んでくるために起こります。また最近よくみられるのが、コンタクトレンズの長期使用者に起こるコンタクト性の眼瞼下垂です。眼瞼下垂症とよく似た病気に眼瞼皮膚弛緩症(がんけんひふしかんしょう)というものがあります。これは加齢とともに、上まぶたの皮膚が緩んでまぶたが下がってくる病気です。
眼瞼下垂や眼瞼皮膚弛緩症が進行してくると物を見ようとした時にあごを挙げたり、まぶたを無理やり挙げようとする為、額にしわがよったり、眉毛が挙がったりして非常に疲れやすくなります。
当院ではそのような眼瞼下垂及び眼瞼皮膚弛緩症に対して、最新の治療を日帰り手術で行う事ができます。手術時間は片眼30~40分程度になり、手術は全て保険診療となります。
【手術費用】片眼約6,070円~21,600円(保険負担割合により変わります)

手術前(加齢により瞼が下がって瞳孔にかかっています)

手術後(瞼が上がり、瞳孔もしっかり出ています)

手術前(加齢により右眼の瞼が特に下がっています)

手術後(右眼の瞼が上がり、左右の開き方が良くなりました)

手術前(加齢により皮膚が緩んで瞼が下がっています)

手術後(弛んだ皮膚を切除することで、瞼が上がっています)

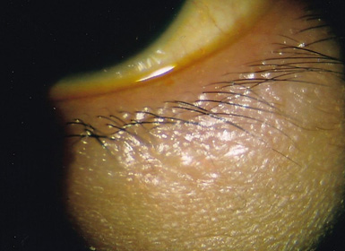
手術前(加齢により瞼の皮膚が緩んで下がっています)

手術後(弛んだ皮膚を切除し元のまぶたに戻っています)
眼瞼内反症(がんけんないはんしょう)および睫毛内反症(しょうもうないはんしょう)とは、まつ毛が眼球にあたり、角膜が傷付く病気です。
眼瞼内反症は加齢に伴いまぶたの皮膚や筋肉が緩み、まぶたごと内側に入り込んでしまう病気です。
睫毛内反症とは生まれつき皮膚の緩みが強く、睫毛が内側に向いてしまい、角膜を傷つける病気です。
どちらの病気も角膜を傷つけるため、ごろごろした異物感、充血や流涙等の症状を引き起こします。
			治療は日帰り手術で、手術時間は片眼20~30分程度です。全て保険診療となります。
【手術費用】片眼約2,500円~7,500円(保険負担割合により変わります)

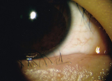
手術前(下の瞼が内側に入り込み、角膜や結膜に当たって充血しています)

手術後(まつ毛は外側に向いており、結膜充血も改善されています)
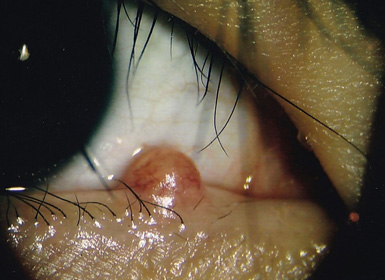
眼瞼腫瘍(がんけんしゅよう)とは、まぶたに生じるできもので良性と悪性のものがあります。大部分は良性ですが、まれに悪性の腫瘍もあります。
霰粒腫(さんりゅうしゅ)とは、ものもらいの一種で、マイボーム腺というまぶたの縁にある脂肪分を出す穴が詰まり、まぶたに固いしこりができる病気です。
治療としては眼瞼腫瘍の場合は、切除し良性のものか悪性か調べます。霰粒腫の場合は、点眼で効果がない場合は切開となります。
			手術は15分程度で、全て日帰り手術となります。
【手術費用】
			眼瞼腫瘍 約7,000円~20,000円
			霰粒腫 約1,700円~5,000円
			(保険負担割合により変わります)

手術前(下の瞼に腫瘍が認められます)

手術後(腫瘍を切除し、傷跡は分かりません)

手術前(瞼の縁にできた腫瘍です)

手術後(腫瘍を切除し、傷跡も綺麗です)

|  |  WEB予約 |  アクセス |